Baca berita tanpa iklan. Gabung Kompas.com+
Kompas.com - 04/10/2021, 09:00 WIB
Jessica Rosa Nathania,
Resa Eka Ayu Sartika

Tim Redaksi

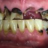
KOMPAS.com - Radang gusi atau Gingivitis adalah peradangan pada gusi yang terjadi akibat lapisan plak atau bakteri yang menumpuk di gigi.

Jika tidak segera mendapatkan perawatan, radang gusi dapat menjadi penyebab utama kehilangan gigi pada orang dewasa dan berkembang menjadi infeksi yang serius.

Baca juga: Penderita Diabetes Rentan Alami Radang Gusi, Begini Cara Mencegahnya

Tipe

Mengutip Medical News Today, terdapat dua tipe utama penyakit radang gusi, yaitu:

  • Diinduksi plak, disebabkan oleh plak, faktor sistemik, obat-obatan, atau malnutrisi
  • Tidak diinduksi plak, disebabkan oleh bakteri, virus, jamur tertentu, faktor genetik, kondisi sistemik, luka, atau reaksi terhadap benda asing

Penyebab

Pada dasarnya, penyebab paling umum dari radang gusi adalah penumpukan plak bakteri di antara atau di sekitar gigi.

Penumpukan plak dapat memicu respons imun yang pada akhirnya menyebabkan kerusakan jaringan pada gusi sehingga terjadi peradangan gusi di sekitar pangkal gigi.

Faktor risiko

Selain penumpukan plak, menurut Healthline, terdapat faktor-faktor lain yang dapat meingngkatkan risiko Anda mengalami radang gusi, seperti:

  • Lansia
  • Riwayat keluarga atau faktor genetik
  • Menggunakan peralatan gigi yang tidak pas
  • Kekurangan vitamin C
  • Perubahan hormon pada masa pubertas, menopause, menstruasi, dan kehamilan
  • Merokok atau menggunakan produk tembakau lainnya
  • Mengonsumsi pengobatan tertentu seperti kontrasepsi oral, steroid, atau kemoterapi
  • Menderita penyakit seperti diabetes, HIV/AIDS, atau kanker
  • Masalah gigi seperti bengkok, patah, atau tambalan yang rusak

Baca juga: 9 Penyakit Penyebab Gusi Sering Berdarah

Gejala

Berikut tanda-tanda atau gejala radang gusi menurut Healthline yang perlu Anda ketahui, antara lain:

  • Gusi lunak, bengkak, berwarna merah atau ungu cerah
  • Gusi berdarah saat menyikat atau menggunakan benang gigi
  • Gigi goyang
  • Nanah di antara gigi dan gusi
  • Merasa sakit saat mengunyah
  • Gusi sakit saat disentuh
  • Gigi sensitif
  • Bau mulut yang tidak menghilang
  • Sebagian gigi palsu tidak muat

Diagnosis

Mengutip Medical News Today, berikut beberapa jenis pemeriksaan untuk melakukan diagnosis pada radang gusi, yaitu:

  • Diskusi mengenai riwayat medis dan gejala yang dirasakan
  • Pemeriksaan plak dan karang gigi di rongga mulut
  • SInar-X untuk mendeteksi tulang yang keropos

Komplikasi

Tanpa pengobatan atau perawatan yang tepat,radang gusi dapat menyebar dan mempengaruhi jaringan, gigi, dan tulang.

Menurut Medical News Today, berikut beberapa komplikasi yang dapat terjadi akibat radang gusi:

Baca juga: 5 Penyebab Gusi Berdarah

  • Abses atau infeksi pada gusi atau tulang rahang
  • Periodontitis, kondisi serius yang dapat menyebabkan hilangnya tulang dan gigi
  • Radang gusi berulang
  • Infeksi bakteri yang menyebabkan ulserasi gusi

Oleh karena itu, segera temui dokter jika Anda mengalami gejala dari radang gusi untuk mendapatkan perawatan yang efektif.

Perawatan

Melansir Healthline, berikut beberapa jenis perawatan yang dapat dilakukan untuk mengatasi radang gusi, meliputi:

  • Scaling, menghilangkan karang gigi dari atas dan bawah garis gusi
  • Root planing, menghilangkan plak dan karang gigi dari permukaan akar
  • Laser, menghilangkan karang gigi dengan rasa sakit dan pendarahan yang lebih sedikit daripada scaling dan root planing
  • Resep obat seperti doxycycline, antibiotik, atau obat kumur antiseptik
  • Operasi atau pembedahan

Pencegahan

Dilansir dari Healthline, kebersihan mulut yang tepat dan konsisten menjadi kunci utama untuk mencegah radang gusi atau penyakit gusi lainnya, termasuk:

  • Mengunjungi dokter gigi secara teratur setiap 6 bulan
  • Menyikat gigi dua kali sehari dengan pasta gigi berfluoride
  • Flossing gigi satu kali setiap hari
  • Menerapkan pola makan yang sehat dan seimbang

Baca juga: Cara Mengempeskan Gusi Bengkak secara Alami

Dalam segala situasi, KOMPAS.com berkomitmen memberikan fakta jernih dari lapangan. Ikuti terus update topik ini dan notifikasi penting di Aplikasi KOMPAS.com. Download sekarang

Artikel ini tidak diperuntukkan untuk melakukan self diagnosis. Harap selalu melakukan konsultasi dengan dokter untuk mendapatkan pemeriksaan dan penanganan yang tepat.

Indeks Penyakit


Baca berita tanpa iklan. Gabung Kompas.com+
Unduh Kompas.com App untuk berita terkini, akurat, dan tepercaya setiap saat
QR Code Kompas.com
Arahkan kamera ke kode QR ini untuk download app
Baca berita tanpa iklan. Gabung Kompas.com+
Baca berita tanpa iklan. Gabung Kompas.com+
Komentar di Artikel Lainnya
Bagikan artikel ini melalui
Oke
Login untuk memaksimalkan pengalaman mengakses Kompas.com
atau